Ubytki niepróchnicowego pochodzenia stanowią coraz większy problem kliniczny. Mimo, że pacjenci wciąż borykają się z próchnicą. Erozja, abrazja i abfrakcja stają się często problemem osób zadbanych, z dobrą higieną jamy ustnej i zdrowymi nawykami żywieniowymi. Etiologia ubytków niepróchnicowego pochodzenia jest złożona. Powstają one w wyniku czynników fizycznych i chemicznych w efekcie powodując utratę funkcji, pogorszenie estetyki, nieodwracalną utratę tkanek w różnych lokalizacjach, nadwrażliwość zębów a nawet choroby miazgi 1. Według literatury abfrakcja (Ryc. 1) powstaje na skutek zginania korony zęba pod wpływem obciążeń zgryzowych działających ekscentrycznie do długiej osi zęba. Ale to nie jedyna przyczyna, ponieważ abfrakcji (sprzyja cienka struktura szkliwa i mała gęstość upakowania pasma Huntera-Schregera (HSB) w okolicy szyjki zęba a także liczne czynniki predysponujące, takie jak braki zębowe nieuzupełnione protetycznie, wady zgryzu (głównie stłoczenia, rotacje, inklinacje zębów), konsekwencje periodontopatii – migracje i utrata zębów, parafunkcje, dysfunkcje mięśniowe i stawowe oraz demineralizacja okolicy przyszyjkowej okolicy zębów 2, 3, 4, 5.
Ubytki niepróchnicowego pochodzenia - diagnostyka i leczenie
dr n. med. Teresa Szupiany-Janeczek* - specjalista stomatologii zachowawczej z endodoncją
* Katedra Stomatologii Zintegrowanej Collegium Medicum UJ
Ryc. 1. Abfrakcja.
Erozja, (Ryc. 2 oraz 3) a obecnie szersze pojęcie czyli biokorozja obejmuje wszystkie formy degradacji chemicznej, biochemicznej i elektrochemicznej tkanek zęba. Jej powstawaniu sprzyja choroba refluksowa przełyku GERD (ang. gastroesophageal reflux disease), ciąża, zaburzenia odżywiania się, enzymy bakteryjne, kwas z produktów żywnościowych i napoi czy chlorowana woda 6, 7, 8.
Ryc. 2. Początkowy etap erozji.
Ryc. 3. Zaawansowana erozja.
Abrazja (Ryc. 4) to utrata tkanek zęba wywołana działaniem mechanicznym. Możemy podzielić ją na endogenną, której sprzyjają bruksizm, czy zaciskanie zębów oraz egzogenną gdzie czynnik ścierający dostarczony jest przez pacjenta na przykład w postaci gruboziarnistej żywności, obgryzania paznokci, trzymania szpilek, gryzienia słomek, przecinania nitki zębami, zachowań rytualnych jak celowego okaleczania/spiłowywania zębów oraz przez czynniki zewnętrzne takie jak aparaty ortodontyczne, protezy częściowe, klamry i ciernie. Jednak w 90% przyczyną abrazji jest nadgorliwe szczotkowanie, zbyt twarda szczotka, pasta o wysokiej ścieralności, niewłaściwe używanie nici dentystycznej, wykałaczek i środków do czyszczenia przestrzeni międzyzębowych 7, 8.
Ryc. 4. Abrazja.
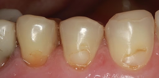
Bardzo ważne w leczeniu ubytków niepróchnicowego pochodzenia jest identyfikacja ich przyczyny, zwłaszcza, że w większości są to wieloczynnikowe ubytki mieszane - abrazyjno-abfraktycjno-erozyjne (Ryc. 5).
Ryc. 5. Ubytki mieszanego pochodzenia.
Zadaniem lekarza jest zatem bardzo czujne i dokładne badanie pacjenta a wcześniej zebranie szczegółowego wywiadu, gdyż pacjent bardzo często nie zgłasza żadnych dolegliwości lub podaje jedynie nadwrażliwość zębiny, która nie powinna zostać zignorowana. Ubytki niepróchnicowego pochodzenia budzą zarówno dużo emocji, jak i pytań. Spróbujmy rozwiać niektóre z nich. Usunięcie przyczyny powstania ubytku to pierwszy krok do wyleczenia problemu.
Jakie zęby są najczęściej narażone na powstawanie ubytków abfrakcyjnych?
Ubytki abfrakcyjne najczęściej dotyczą kłów oraz przedtrzonowców górnych i dolnych. Można je także spotkać na zębach trzonowych. Typową ich lokalizacją jest strona wargowa/policzkową, przy granicy szkliwno cementowej. Jest to widoczne dość dobrze na fotografii Ryc 1. (niestety gdy ubytek już jest - nie jest już widoczna ta granica).
Jak odróżnić abrazję od abfrakcji?
Oba te procesy mogą współistnieć i w tym przypadku bardzo istotny będzie bardzo dokładny wywiad. Najczęściej ubytki abfrakcyjne mają kształt klinu o ostrych krawędziach, czasem nawet poszarpanych. Znajdują się przy granicy szkliwno-cementowej. Początkowo mogą objawiać się tylko jako szczelina w tej okolicy, następnie dochodzi do powiększania się ubytku z zachowaniem charakterystycznego ostrego, klinowanego kształtu. Najczęściej abfrakcję znajdziemy na kłach i przedtrzonowcach (czasem trzonowcach) górnych i dolnych. Abrazja może przybierać różny wygląd zależnie od czynnika sprawczego, zwykle jednak lokalizuje się przyszyjkowo i ma kształt gładkich i regularnych zagłębień - często na kilku sąsiednich zębach. W początkowym okresie mogą to także być płytkie linie czy kreski, zwykle po stronie wargowej. W przypadku abrazji wywołanej przez ścierna pastę do zębów, charakterystyczny jest brak symetrii i jej większe nasilenie na stronie od której pacjent rozpoczyna szczotkowanie (więcej pasty i suche włókna szczoteczki).
Czy obecność ubytków abrazyjnych, wymaga uzupełnienia tkanek, jeśli nie ma dolegliwości lub są one nasilone okazjonalnie?
Tak jak w przypadku wszystkich ubytków niepróchnicowego pochodzenia, najważniejsze w leczeniu abrazji będzie wyeliminowanie przyczyny. Następnie ocenia się głębokość ubytków oraz objawy pacjenta. W przypadku braku, lub nieznacznego odsłonięcia zębiny bez nadwrażliwości, wskazana jest obserwacja.
Jakie są możliwe metody i środki leczenia nadwrażliwości w przypadku ubytków niepróchnicowego pochodzenia?
Nadwrażliwość zębiny to częsty problem kliniczny. W przypadku małego nasilenia objawów często wystarczające bywają metody profilaktyki domowej. Zalecane jest wtedy zastosowanie niskościernej pasty do zębów z fluorem zawierającej 8% argininy. Badania naukowe potwierdzają, że zastosowanie argininy znacząco bardziej efektywnie redukowało nadwrażliwość w porównaniu z innymi preparatami 9, 10, 11, 12. Ponadto w ramach profilaktyki domowej sugeruje się miejscowe wcieranie koniuszkiem palca przez 1 minutę, odpluwanie pasty po szczotkowaniu zębów (unikanie przepłukiwania wodą) oraz odraczanie szczotkowania po posiłku (odczekanie pół godziny celem redukcji ilości kwasu w jamie ustnej). W sytuacji znacznego nasilenia objawów stosuje się zabiegi profesjonalne. Preparaty pierwszego rzutu to żele, pianki i lakiery fluorowe (np. lakier z 5% NaF DuraphatⓇ Single Dose https://www.colgateprofessional.pl/products/high-fluoride-products/colgate-duraphat-varnish) a także azotan potasu, GLUMA (metakrylan hydroksyetylu i aldehyd glutarowy). W przypadku rozległych ubytków tkanek stosuje się wypełnienia kompozytowe 13,14,15,16.
Czy wykorzystanie lasera diodowego wspomaga zamknięcie kanalików i dzięki naświetlaniu, pacjent odczuwa ulgę?
Lasery są znane ze skuteczności w zmniejszaniu nadwrażliwości zębiny. Pierwsze wykorzystanie tej metody w leczeniu nadwrażliwości opisano w 1985 roku. Uważa się, że działają one poprzez koagulację białek w płynie kanalików zębinowych i tym samym zmniejsza ich przepuszczalność i przenoszenie bodźców, choć dokładny mechanizm działania nie jest w pełni poznany. W literaturze najczęściej można znaleźć informacje na temat zastosowania do tego celu diodowych laserów o niskiej mocy i średniej mocy 17.
Czy erozja może obejmować brzegi sieczne?
Erozja najszybciej objawia się w miejscu bezpośredniego działania kwasu. Jednak prawie zawsze, nie jest to odizolowana lokalizacja z racji przemieszczania się w kwasu w obrębie jamy ustnej, czy też szczotkowania zębów np. po wypiciu soku owocowego czy też wymiotach. Zatem możliwe jest obserwowanie zjawiska erozji obejmującego brzeg sieczny w połączeniu z innymi powierzchniami zęba, często także jako efekt ścieńczenia ścian policzkowej i podniebiennej. Obserwowane skrócenie brzegów siecznych bez objawów erozji na innych powierzchniach zębów, będzie najpewniej spowodowane innym procesem.
Jak na szkliwo zębów wpływa częste picie napojów energetycznych?
Napoje energetyczne, podobnie jak napoje gazowane typu soft-drink (pH 2,7) czy soki owocowe mają niskie pH i mogą wywołać erozję, jeśli będą spożywane w dużej ilości i w niewłaściwy sposób. Podobne działanie mogą mieć tak zwane napoje izotoniczne, czy też woda z cytryną ale także inne produkty, które spożywamy na co dzień. Dla przykładu sok pomarańczowy ma pH 3,3-4,1 a napój jabłkowy pH 2,9-3,5. Oznacza to, że sok jabłkowy ma w istocie wyższy potencjał erozyjny niż sok pomarańczowy. Niebezpieczne są także inne produkty, czarna kawa (pH 2,4-3,3), dżem owocowy (pH 3,0-4,0) czy keczup (pH 3,7), które także wykazują wysoki potencjał erozyjny 18,19,20,21.
Czy powinniśmy wspomagać neutralizację kwasów w diecie np. poprzez płukanie roztworem sody oczyszczonej po kwaśnym posiłku?
Układ buforowy śliny jest bardzo wydolny. Zachowanie odpowiednich przerw między porcjami pożywienia czy napojami, odczekanie przed szczotkowaniem zębów czy też popicie (lub przepłukanie ust) wodą jest w zupełności wystarczające dla wspomożenia tego procesu. Pomocne może być także krótkie (do 3 minut) żucie gumy do żucia.
Jakie zalecenia powinien otrzymać pacjent, u którego występuje nasilona nadwrażliwość zębiny?
Raport of the Oral Health z 2000 roku wykazał, że u ponad połowy badanych osób w wieku 4-18 lat stwierdzono oznaki erozji zębów 22. Zatem można założyć, że z problemem nadwrażliwości boryka się nawet co drugi pacjent. Zalecenia jakie powinien usłyszeć pacjent to:
- stosowanie szczoteczki o miękkim włosiu
- metoda szczotkowania roll (bezwzględne unikanie poziomego szorowania)
- pasta do zębów zawierająca fluor z niskim wskaźnikiem RDA - nieskościerna pasta (np. elmexⓇ SENSITIVE PROFESSIONAL, zawierającą 8% argininy i węglan wapnia) https://www.colgateprofessional.pl/products/toothpaste/elmex-sensitive-professional
- odczekanie pół godziny ze szczotkowaniem zębów po posiłku
- w przypadku braku możliwości umycia zębów - przepłukanie jamy ustnej wodą lub krótkie żucie gumy do żucia (nie dłużej niż 3 minuty). Ponadto pacjent z nadwrażliwością powinien stosować odpowiednią dietę w której ograniczy ilość kwasów.
Czy pacjenci z ubytkami powierzchni korzenia, powinni być zaopatrzeni tak samo jak Ci, którzy ubytki mają jeszcze w obrębie szkliwa?
Faktem jest, że wiązanie materiałów kompozytowych do szkliwa i do cementu (zębiny korzeniowej) nie jest takie samo. Jednak nadal materiały kompozytowe zapewniają najlepszą estetykę oraz trwałość. Decyzję o wyborze zaopatrzenia podejmować zatem powinniśmy zależnie od sytuacji klinicznej i spełnienia warunków dla zastosowania danego typu materiału. Jeśli jest możliwe uzyskanie suchości, materiałem z wyboru pozostaje kompozyt. Kwestią dyskusji pozostaje metoda przygotowania zęba do wiązania, gdyż wiele publikacji naukowych udowadnia lepsze warunki wiązania w przypadku zastosowania systemu łączącego IV generacji i techniki całkowitego trawienia.
Jak odróżnić abrazję od erozji na powierzchni wargowej? Czy można wybielać zęby u tych pacjentów?
Bardzo często trudno jest odróżnić pochodzenie danego typu ubytków. Kluczowe w tym przypadku jest zebranie szczegółowego wywiadu z pacjentem. Zdarza się także nierzadko, że te dwa procesy występują równocześnie. W przypadku aktywnego procesu erozji charakterystyczna może być matowa powierzchnia ubytku (w przebiegu abrazji ubytek jest błyszczący). Wybielanie zębów w takiej sytuacji nie zawsze jest możliwe. Każdorazowo decyzja zapada indywidualnie po dokładnej ocenie zaawansowania procesu, ilości utraconych tkanek oraz powierzchni odsłoniętej zębiny. Można pozwolić sobie na wybielanie w przypadku usunięcia przyczyny, zabezpieczenia potencjalnej odsłoniętej zębiny oraz niewielkiego zaawansowania choroby.
Jak skutecznie wypełnić ubytki erozyjne na okluzyjnych powierzchniach trzonowców?
W przypadku erozji powierzchni okluzyjnych zębów bocznych sytuacja jest skomplikowana. Po usunięciu przyczyny należy ocenić ilość brakujących tkanek. W przypadku pojedynczych ognisk erozji możliwa jest odbudowa bezpośrednia. Gdy doszło do utraty struktur anatomicznych z powierzchni żującej sugeruje się wykonanie prac pośrednich lub bezpośrednich we wcześniej ustalonych, bezpiecznych warunkach zgryzowych. Metodą z wyboru wydaje się leczenie addycyjne ograniczające preparację już i tak częściowo pozbawionych tkanek własnych zębów.
Bibliografia
Hryncewicz M., Tropak K.: Ubytki niepróchnicowego pochodzenia –abfrakcja, abrazja, atrycja, erozja. Przegląd piśmiennictwa. Nowa Stomatol., 2014, 1, 1, 19, 46-52.
Grippo JO. Abfractions: a new classification of hard tissue lesions of teeth. J Esthet Dent. 1991;3(1):14–19.
Lee HE, Lin CL, Wang CH, Cheng CH, Chang CH. Stresses at the cervical lesion of maxillary premolar – a finite element investigation. J Dent. 2002;30(7–8):283–290.
Silva AG, Martins CC, Zina LG, et al. The association between occlusal factors and noncarious cervical lesions: a systematic review. J Dent. 2013;41(1):9–16.
Nascimento MM, Dilbone DA, Pereira PN, Duarte WR, Geraldeli S, Delgado AJ. Abfraction lesions: etiology, diagnosis, and treatment options. Clin Cosmet Investig Dent. 2016 May 3;8:79-87. doi: 10.2147/CCIDE.S63465. PMID: 27217799; PMCID: PMC4861607.
Grippo JO, Simring M. Dental erosion revisited. J Am Dent Assoc 1995;126(5):619–30.
Grippo JO, Simring M, Schreiner S. Attrition, abrasion, corrosion and abfraction revisited. J Am Dent Assoc 2004;135:1109–18.
Grippo JO, Simring M, Coleman TA. Abfraction, abrasion, biocorrosion, and the enigma of noncarious cervical lesions: a 20-year perspective. J Esthet Restor Dent. 2012;24(1):10–23.6
Elias Boneta AR, Ramirez K, Naboa J, Mateo LR, Stewart B, Panagokos F, De Vizio W. Efficacy in reducing dentine hypersensitivity of a regimen using a toothpaste containing 8% arginine and calcium carbonate, a mouthwash containing 0.8% arginine, pyrophosphate and PVM/MA copolymer and a toothbrush compared to potassium and negative control regimens: an eight-week randomized clinical trial. J Dent. 2013 Mar;41 Suppl 1:S42-9. doi: 10.1016/j.jdent.2012.11.011. Epub 2013 Feb 1. PMID: 23380274.
Elías Boneta AR, Galán Salás RM, Mateo LR, Stewart B, Mello S, Arvanitidou LS, Panagakos F, DeVizio W. Efficacy of a mouthwash containing 0.8% arginine, PVM/MA copolymer, pyrophosphates, and 0.05% sodium fluoride compared to a commercial mouthwash containing 2.4% potassium nitrate and 0.022% sodium fluoride and a control mouthwash containing 0.05% sodium fluoride on dentine hypersensitivity: a six-week randomized clinical study. J Dent. 2013 Mar;41 Suppl 1:S34-41. doi: 10.1016/j.jdent.2012.11.004. Epub 2013 Feb 1. PMID: 23380074.
Hirsiger C, Schmidlin PR, Michaelis M, Hirsch C, Attin T, Heumann C, Doméjean S, Gernhardt CR. Efficacy of 8% arginine on dentin hypersensitivity: A multicenter clinical trial in 273 patients over 24 weeks. J Dent. 2019 Apr;83:1-6. doi: 10.1016/j.jdent.2019.01.002. Epub 2019 Jan 30. PMID: 30710652.
Hall C, Mason S, Cooke J. Exploratory randomised controlled clinical study to evaluate the comparative efficacy of two occluding toothpastes - a 5% calcium sodium phosphosilicate toothpaste and an 8% arginine/calcium carbonate toothpaste - for the longer-term relief of dentine hypersensitivity. J Dent. 2017 May;60:36-43. doi: 10.1016/j.jdent.2017.02.009. Epub 2017 Feb 20. PMID: 28219674.
Sharif MO, Iram S, Brunton PA. Effectiveness of arginine-containing toothpastes in treating dentine hypersensitivity: a systematic review. J Dent. 2013;41(6):483–492.
Powell LV, Gordon GE, Johnson GH. Sensitivity restored of Class V abrasion/erosion lesions. J Am Dent Assoc. 1990;121(6):694–696.
Beddis H, Soneji P, Welford S, Ashley M. Making sense of sensitivity. Dent Update. 2013;40(5):403–404.
Petersson LG. The role of fluoride in the preventive management of dentin hypersensitivity and root caries. Clin Oral Investig. 2013; 17(suppl 1):S63–S71.
Asnaashari M, Moeini M. Effectiveness of lasers in the treatment of dentin hypersensitivity. J Lasers Med Sci. 2013 Winter;4(1):1-7. PMID: 25606300; PMCID: PMC4281970.
Reddy A, Norris DF, Momeni SS, Waldo B, Ruby JD. The pH of beverages in the United States. J Am Dent Assoc. 2016 Apr;147(4):255-63. doi: 10.1016/j.adaj.2015.10.019. Epub 2015 Dec 2. PMID: 26653863; PMCID: PMC4808596.
Rusyan E, Etiologia i czynniki modyfikujące erozję zębów. Etiology and modifying factors of dental erosion, Nowa Stomatologia 1/2003, , s. 33-36
Dental erosion caused by cola beverages. General Dent. 1991, 39:23-24
Lussi A, Carvalho TS. Analyses of the Erosive Effect of Dietary Substances and Medications on Deciduous Teeth. PLoS One. 2015 Dec 23;10(12):e0143957. doi: 10.1371/journal.pone.0143957. PMID: 26700481; PMCID: PMC4689448.
- Raport of the Oral health survey, 2000, London: The Stationery Office by Walker A. et al.
